Research Key to Breast Cancer Breakthrough

In this section
Research Key to Breast Cancer Breakthrough
2018-10-25

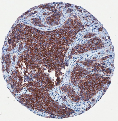
Tremendous progress has been made in tackling breast cancer over the last few decades and in many instances, it’s not the death sentence it perhaps once was. This has been underpinned by initial discoveries in laboratories, which have been translated into clinical benefit. But we need to do more. Breast cancer is not a single disease and despite decades of research, we still have only 3 ‘biomarkers’ - molecules present on cells - that are used by doctors to guide them towards how to treat breast cancer. And we’re not very good at telling which breast cancers will become resistant to some treatments. Research holds the key.

Here at the University of Aberdeen we are assembling a team of doctors and scientists who will work closely together so we can better understand breast cancer. To study human disease needs human tissues and we are fortunate to have the Grampian Biorepository co-located with the research labs on the Foresterhill site. We ask permission from patients to use any of their breast tissue, which might remain after doctors have taken what they need to make a diagnosis. This is incredibly valuable for us, as this tissue would normally just go in the bin so we are grateful to patients who allow us to use their tissues in research. Working closely with pathologists, we use these to model breast cancer in the lab and to examine responses to drugs. These tissues also allow us to study how cancer cells interact with other types of surrounding cells, for example cells of the immune system, and how they may influence their behaviour. Often this is complex and we are looking at ways of teasing this out in the lab using many of the state-of-the-art pieces of equipment which the Institute of Medical Sciences has invested in.

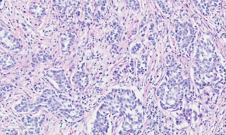
We also study breast cancer in men. To a lay person, a breast cancer diagnosis in a man is often surprising. Of course, breast cancer in men is much less common than it is in women; for every man who receives a diagnosis, around 135 women will be diagnosed. Through international collaboration, we have assembled a collection of close to 500 male breast cancer samples. This is one of the largest collections anywhere in the world. We are using these samples to study the biology of male breast cancer and to examine how this may differ from breast cancer in women. There is evidence that male breast cancer may be increasingly diagnosed a so we need to understand its biology more fully so that the best and mores relevant types of treatments can be offed to patients.

We are about to embark on an exciting new project studying the effects of environmental chemicals on breast cancer development and how this might relate to breast density, a known risk factor for breast cancer. This is a 3 year PhD project which will be carried out by a recent Aberdeen graduate who has just joined my lab and we hope to be able to report the results in the coming years. There are exciting times ahead for breast cancer research at Aberdeen!

Published by School of Medicine, Medical Sciences and Nutrition, University of Aberdeen

Comments

There are currently no comments for this post.

Your Comment
Captcha

Please help us to avoid spam by completing the captcha below.

Search blog

Browse by month

2026

  1. Jan There are no items to show for January 2026
  2. Feb
  3. Mar
  4. Apr
  5. May There are no items to show for May 2026
  6. Jun There are no items to show for June 2026
  7. Jul There are no items to show for July 2026
  8. Aug There are no items to show for August 2026
  9. Sep There are no items to show for September 2026
  10. Oct There are no items to show for October 2026
  11. Nov There are no items to show for November 2026
  12. Dec There are no items to show for December 2026

2025

  1. Jan
  2. Feb
  3. Mar
  4. Apr
  5. May
  6. Jun
  7. Jul
  8. Aug There are no items to show for August 2025
  9. Sep
  10. Oct
  11. Nov
  12. Dec

2024

  1. Jan There are no items to show for January 2024
  2. Feb
  3. Mar
  4. Apr There are no items to show for April 2024
  5. May There are no items to show for May 2024
  6. Jun
  7. Jul There are no items to show for July 2024
  8. Aug
  9. Sep There are no items to show for September 2024
  10. Oct
  11. Nov There are no items to show for November 2024
  12. Dec There are no items to show for December 2024

2023

  1. Jan There are no items to show for January 2023
  2. Feb There are no items to show for February 2023
  3. Mar There are no items to show for March 2023
  4. Apr
  5. May There are no items to show for May 2023
  6. Jun There are no items to show for June 2023
  7. Jul
  8. Aug There are no items to show for August 2023
  9. Sep There are no items to show for September 2023
  10. Oct
  11. Nov
  12. Dec There are no items to show for December 2023

2022

  1. Jan
  2. Feb
  3. Mar There are no items to show for March 2022
  4. Apr There are no items to show for April 2022
  5. May There are no items to show for May 2022
  6. Jun There are no items to show for June 2022
  7. Jul There are no items to show for July 2022
  8. Aug There are no items to show for August 2022
  9. Sep There are no items to show for September 2022
  10. Oct There are no items to show for October 2022
  11. Nov There are no items to show for November 2022
  12. Dec There are no items to show for December 2022

2021

  1. Jan
  2. Feb There are no items to show for February 2021
  3. Mar
  4. Apr
  5. May
  6. Jun There are no items to show for June 2021
  7. Jul There are no items to show for July 2021
  8. Aug There are no items to show for August 2021
  9. Sep
  10. Oct
  11. Nov
  12. Dec

2020

  1. Jan There are no items to show for January 2020
  2. Feb
  3. Mar
  4. Apr
  5. May
  6. Jun
  7. Jul
  8. Aug
  9. Sep There are no items to show for September 2020
  10. Oct
  11. Nov
  12. Dec

2019

  1. Jan
  2. Feb There are no items to show for February 2019
  3. Mar
  4. Apr
  5. May
  6. Jun There are no items to show for June 2019
  7. Jul
  8. Aug
  9. Sep There are no items to show for September 2019
  10. Oct
  11. Nov There are no items to show for November 2019
  12. Dec

2018

  1. Jan There are no items to show for January 2018
  2. Feb There are no items to show for February 2018
  3. Mar There are no items to show for March 2018
  4. Apr There are no items to show for April 2018
  5. May
  6. Jun
  7. Jul
  8. Aug
  9. Sep
  10. Oct
  11. Nov
  12. Dec