Protecting the brain in stroke
Evaluating lipid-derived protection for stroke treatment

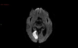
Figure: The figure shows a diffusion weighted MRI scan in a patient with posterior circulation stroke. We are designing pilot intervention studies for stroke patients to assess the feasibility of clinical outcome studies of novel neuroprotectant therapies.
Funder: NHS Grampian Endowment Fund
Project team:
Dr Mary Joan Macleod (Clinical Pharmacologist, University of Aberdeen),
Dr Frank Thies (Research Scientist, Rowett Institute)
Dr Lorna Aucott (Senior Statistician, Health Service Research Unit)