What happens when the mind wanders?

In this section
What happens when the mind wanders?

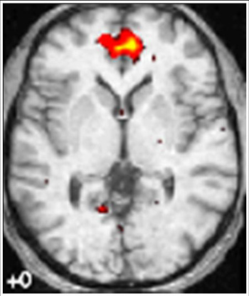
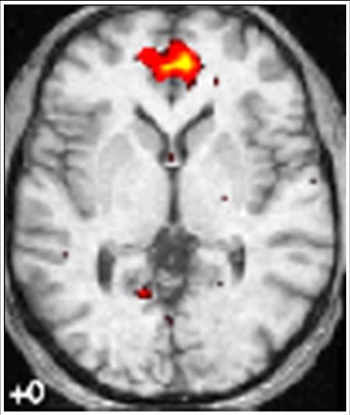
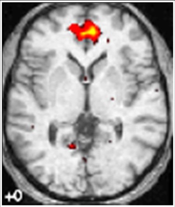
Scientists have discovered what happens in the brain when the mind wanders. Until recently, little has been known about the neural mechanisms that give the mind its ability to daydream.

But now psychologists and neuroscientists in Aberdeen and America have revealed that a collection of areas in the brain termed the default network, supports what is known as mind wandering.

The findings are published today in top journal Science.

The scientists carried out their research with the help of volunteers whose brains were scanned as they performed simple memory tasks.

The results revealed that when participants performed practised tasks with which they were familiar, activity in regions of the default network was associated with episodes of mind wandering, a finding that underscores the importance of this system in guiding the stream of consciousness. 

Professor Neil Macrae, Chair of Psychology at the University of Aberdeen, said: "Mind wandering has perplexed scholars for centuries, both in terms of its neural basis and psychological significance.

"For example, what happens in the brain during an over-learned or boring task when the mind spontaneously flits from thought to thought.

 "The current work serves as an initial step in identifying the neural operations that support this core component of human cognition."

Quite why the mind wanders at all however remains open to debate. 

Professor Macrae added: "One possibility is that mind wandering, as a form of spontaneous mental time travel, reflecting on the past, planning for the future, lends a sense of coherence to one's past, present and future experiences, enabling one to make effective choices and decisions." 

 * The paper in Science entitled Wandering Minds: The Default Network and Stimulus-Independent Thought was a collaboration involving the University of Aberdeen; Dartmouth College, Hanover, USA and Harvard University, USA.

Search News

Browse by month

2026

  1. Jan
  2. Feb
  3. Mar
  4. Apr
  5. May There are no items to show for May 2026
  6. Jun There are no items to show for June 2026
  7. Jul There are no items to show for July 2026
  8. Aug There are no items to show for August 2026
  9. Sep There are no items to show for September 2026
  10. Oct There are no items to show for October 2026
  11. Nov There are no items to show for November 2026
  12. Dec There are no items to show for December 2026

2004

  1. Jan
  2. Feb
  3. Mar
  4. Apr
  5. May
  6. Jun
  7. Jul
  8. Aug
  9. Sep
  10. Oct
  11. Nov There are no items to show for November 2004
  12. Dec

2003

  1. Jan
  2. Feb
  3. Mar
  4. Apr
  5. May
  6. Jun
  7. Jul
  8. Aug
  9. Sep
  10. Oct
  11. Nov
  12. Dec There are no items to show for December 2003

1999

  1. Jan There are no items to show for January 1999
  2. Feb There are no items to show for February 1999
  3. Mar
  4. Apr
  5. May
  6. Jun
  7. Jul
  8. Aug
  9. Sep
  10. Oct
  11. Nov
  12. Dec

1998

  1. Jan
  2. Feb
  3. Mar
  4. Apr There are no items to show for April 1998
  5. May
  6. Jun
  7. Jul There are no items to show for July 1998
  8. Aug There are no items to show for August 1998
  9. Sep
  10. Oct
  11. Nov There are no items to show for November 1998
  12. Dec